Asqırmasını tutmağa çalışan kişinin nəfəs borusu partlayıb və traxeyasında dəlik yaranıb. Belə hal tarixdə ilk dəfədir qeydə alınır.
Bu barədə “BMJ Case Reports” jurnalında bildirilib.
Məlumata görə, kişi avtomobil idarə edərkən asqırmaq istəyib. Amma o, buna imkan vermək əvəzinə, burnunu sıxıb, eyni zamanda ağzını bağlayıb.
Həkimlərin sözlərinə görə, ağız və burun bağlı olarsa, yuxarı tənəffüs yollarında yaranan təzyiq asqırma zamanı yığılan təzyiqdən 20 dəfə çox ola bilər.
Kişinin vəziyyətində təzyiq o qədər böyük olub ki, onun nəfəs borusu partlayıb və 2×2 mm ölçülü bir dəlik meydana gəlib.

O, şiddətli ağrı ilə təcili yardıma müraciət edib. Kişinin boğazının hər iki tərəfi şişmiş vəziyyətdə olub. Həkimlər xəstəni müayinə edəndə zəif çatlama səsi eşidiblər. Bununla belə, kişinin nəfəs almasında, udmada və danışmasında heç bir problem olmayıb.
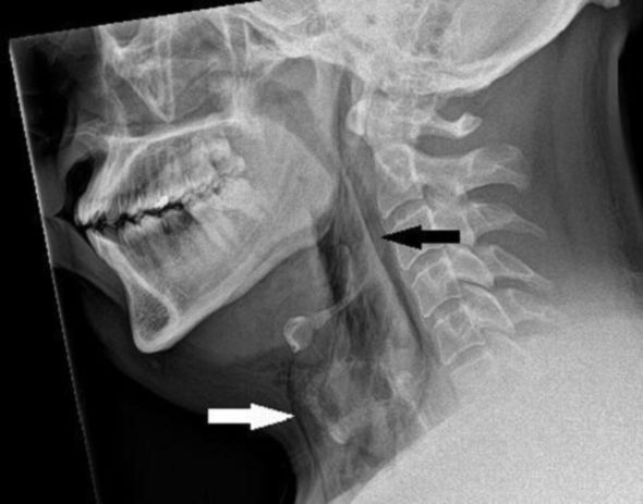
Boynun rentgenoqrafiyasından məlum olub ki, kişidə cərrahi amfizem var. Bu vəziyyətdə hava dərinin altındakı toxumanın ən dərin təbəqələri altına yığılır. Daha sonra kompüter tomoqrafiyası (KT) skaneri göstərib ki, yırtıq onun boynunun üçüncü və dördüncü fəqərələri arasındadır. Sinəsinin ağciyərləri arasındakı boşluqda da hava toplanıb.
Həkimlər belə nəticəyə gəliblər ki, yırtıq burunu sıxmaq və eyni zamanda ağzı bağlamaqla olan asqırma zamanı nəfəs borusunda təzyiqin sürətlə artması nəticəsində yaranıb.
Tibb işçiləri kişinin əməliyyata ehtiyacı olmadığına qərar veriblər. Bununla belə, o, oksigen səviyyəsinin və digər həyati əlamətlərinin sabit qalmasını təmin etmək üçün iki gün xəstəxanada müşahidə olunub.
Beş həftə sonra KT müayinəsi nəfəs borusunun tamamilə sağaldığını göstərib.


Mənbə: Vesti.ru
www.102info.az
